Болезни и лекарства
Домой Болезни и лекарства
Ушиб мягких тканей : одна из самых распространенных травм
Ушиб мягких тканей считается самой частой и распространенной травмой. Она может быть, как у взрослых, так и у детей. Очень важно вовремя ее диагностировать...
Эректильная дисфункция: современные методы лечения
Прежде чем мы обсудим различные методы лечения эректильной дисфункции, давайте узнаем, что это такое. Это когда мужчина не может достичь эрекции во время секса...
Как не заболеть респираторными заболеваниями
Зима приближается к концу, впереди весна. Для организма наступают тяжелые времена, которые называем авитаминозом. Иммунная система ослабевает, и мы подхватываем простуду.
Этот не должно стать...
Современные методики лечения наркомании
Наркомания представляет собой пагубную зависимость, которая может обернуться для человека летальным исходом. Главное во время лечения наркомании – это принятие пациентом того факта, что...
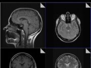
МРТ гипофиза: когда требуется исследование и как оно проходит
Методика используется в современной медицине с целью диагностики, для проведения используется томограф. Он формирует магнитное излучение и дает возможность отсканировать ткани, получив четкое изображение....
С какими болезнями поможет справиться невролог?
Очень часто пациенты, которые приходят к неврологу мучаются от головных болей. Причем боль может быть такой силы, что не помогают ни одни препараты. Также...
Современные методы лечения варикоза
Варикоз — болезнь, при которой нарушается венозный отток. Из-за варикозов ухудшается состояние кожи. Кожа на ногах истончается, появляются сосудистые звездочки, которые, как правило, не...
Фитонциды: забытый рецепт здоровья
Растения не только защищают нас от различных инфекционных заболеваний, но и дают здоровую пищу.
Они приходят на помощь, когда иммунитет человека не справляется с вредоносными...
Использование компрессионного рукава : необходимость для сохранения собственного здоровья и работоспособности
В последние годы компрессионное белье вторглось в спортивный мир. В начале марафона, на стартовой линии трассы или на горнолыжных склонах они теперь повсюду. Тем...
Как продать неиспользованные лекарства?
Лекарство представляет собой фармацевтический активный компонент со сложной смесью химических веществ, каждое из которых оказывает лечебный эффект на конкретный симптом или процесс (кроме отдельных...























