Медицинский центр Красная Звезда: широкий выбор специалистов и возможности для обследований на хорошем и...
В поиске надежного и профессионального медицинского центра для своего здоровья, важно учитывать не только опыт специалистов, но и наличие современного оборудования. Госпиталь в Красногорске...
С чего начать лечение ишемической болезни сердца?
Ишемическая болезнь сердца (ИБС) – это серьезное заболевание, которое требует комплексного лечения и изменений в образе жизни. Если у вас поставлен диагноз ИБС или...
Miglionico NiceGlass: стоматологическая установка с верхней подачей инструментов
Наиболее популярным решением в России, используемым в стоматологических установках, является система верхних рукавов. Но есть группа стоматологов, которые предпочитают работать с нижней рукавной системой....
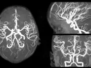
Виды МРТ головного мозга с сосудами
Магнитно-резонансная томография (МРТ) головного мозга является одним из самых точных методов диагностики заболеваний центральной нервной системы. Она позволяет получить детальные изображения структур головного мозга,...
Искусственное оплодотворение: современные методы
Искусственное оплодотворение может потребовать особого внимания для пар, пытающихся воспитать детей, но не способных зачать естественным путем. Неспособность иметь детей или проблемы с бесплодием...
Этапы вывода из запоя на дому
В наше время большинство людей страдают алкоголизмом. Причём, нету какого-то определённого возраста: алкоголизмом страдают как и подростки, так и взрослые. Увы, в наше время...
Доска Садху с гвоздями для йоги
Стояние на доске Садху рекомендуется попробовать хотя бы однажды каждому человеку. После пары занятий уже будет заметен эффект. В частности, отмечается повышение способности организма...
Что такое обезвоживание?
Что такое обезвоживание?
Обезвоживание – патологическое состояние, при котором уровень воды в организме опускается ниже физиологической нормы. Обезвоживание чаще всего становится результатом острых заболеваний, которые...
Лечение в Корее: причины популярности
В настоящее время популярным среди людей является лечение за рубежом. Лучшая страна для лечения любых болезней – это Корея. Многие люди отдают ей предпочтение,...
Особенности ремонта медицинского оборудования
Качество имеет значение при ремонте медицинского оборудования. Люди тратят много времени на поиск качественного семейного врача, отвечающего их потребностям. Мало кто просто набирает в...























