Виды стоматологических услуг в клинике Лотус Дент
Даже регулярная чистка зубов щеткой и зубной нитью не позволяет полностью удалить зубной налет, поскольку некоторые участки десен и зубов труднодоступны. Поэтому там оседают...
Классификация современных УЗИ аппаратов
Современные медицинские специалисты в настоящее время располагают самым разным техническим оборудованием, с помощью которого можно с большой достоверностью ставить диагноз пациентам. УЗИ (ультразвуковое исследование)...
Практическое применение медицинских консолей
Медицинской консолью называется оборудование, получившее широкое применение в разных клиниках и медицинских учреждениях. Оно предоставляет возможность оснащения палаты определенными техническими средствами, которые сосредоточены в...
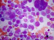
Как выявить гемобластоз?
Гемобластоз — это опухолевое заболевание кроветворной и лимфатической ткани. Это одно из самых распространенных опухолевых заболеваний.
Есть несколько причин, которые способствуют развитию заболевания. В первую...
Когда нужно проводить УЗДГ вен нижних конечностей?
В организме человека все сосуды делятся на вены и артерии. Артериями называются сосуды несущие кровь от сердца к органам, венами – сосуды несущие кровь...
Почему люди стали отдавать предпочтение частным медицинским клиникам?
Вопросы здоровья касаются каждого человека. Когда возникает необходимость обратиться к медицинскому специалисту, все большее количество людей выбирают для себя частные клиники. Конечно, здоровье невозможно...
Особенности системы непрерывного медицинского образования
Сфера медицины постоянно меняется и развивается с появлением новых технологий, практик и инноваций. Таким образом, образование в области здравоохранения не заканчивается после получения степени.
Чтобы...
Трофическая язва: эффективные способы лечения
Трофической язвой называют очень опасное и неприятное заболевание.Оно нуждается в квалифицированном лечении. Данная болезнь характеризуется незаживалением, она локализируется на поверхности из-за нарушения местной иннервации....
FATZORB: французское средство для похудения
Капсулы Fatzorb являются на сегодня самыми эффективными для борьбы с лишним весом, а также если у человека уже ожирение и увеличение веса во время...
Как стать санитаром?
Санитар занимается обслуживанием пациентов, содержанием помещений в чистоте. Также он обрабатывает инструмент, осуществляет уход за больными. Имея диплом санитара, работник относится к категории младшего...























