Как проходят консультации автоюриста?
В настоящее время жизнь крайне непредсказуема, поэтому с человеком может произойти самая разная ситуация, которая способна перевернуть многие события. Конечно же, это касается каждого,...
Лучшие лекарства от гепатита С
Гепатит С - это серьезное заболевание вирусного происхождения, которое характеризуется поражением печени. На сегодняшний день данная болезнь поддается лечению, однако терапия должна подбираться индивидуально...
Как научиться работать в ArchiCAD?
В настоящее время существует огромное количество различных профессий и специальностей, которые необходимы в жизни, которые незаменимы, которые приносят пользу. В частности можно отметить достаточно...
Как бросить курить: эффективные способы
Одной из пагубных привычек человека является курение. К сожалению, процент людей, которые курят во всем мире очень большой. Борьба с курением происходит разными способами:...
Заикание у детей: причины
Заикание у детей дошкольного возраста проявляется достаточно часто. Проблематика имеет различные причины, и тут самое главное – правильное, квалифицированное лечение, базирующееся на детальной диагностике....
Как стать популярным в Лайке?
В современном мире очень сложно представить свою жизнь без интернета, ведь он предоставляет огромное множество перспектив и возможностей, которые человек не упускает. Именно поэтому...
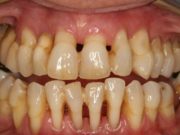
Революционные методы лечения пародонтоза в Германии
В мире нет ни одного человека, которому бы не приходилось пользоваться услугами стоматолога. В перечень постоянных поводов для обращения входит очень сильная, изматывающая зубная...
Какими заболеваниями занимается дерматовенеролог?
Врач-дерматолог занимается проблемами, которые связаны с кожным покровом. При чем, есть врачи-дерматологи детские, а есть и взрослые. Что касается пола, то различий принципиальных нет....
Специи: важная составляющая современной кулинарии
Недостаточно лишь приобрести мясо для того, чтобы получить вкусный шашлык или другое блюдо. Необходимо ещё и добавить к нему специи. Лишь тогда удастся получить...
Преимущества посещения салона красоты
Для каждой девушки и женщины, и это ни для кого не секрет, большое значение имеет внешний вид. Выглядеть привлекательно является природным желанием каждой представительницы...























