Стоматология
Когда пора ставить имплантат?
                    На сегодняшний день наиболее эффективным способом восстановления зубов считается имплантация. Возможно, следующим этапом в стоматологии будет, выращивание натуральных зубов с помощью стволовых клеток, но это...                
            Особенности удаления молочных зубов у детей
                    
Удаление молочных зубов у детей является обычной процедурой, с которой сталкиваются многие маленькие пациенты и их родители. Этот этап развития зубной системы требует особого...                
            Какие брекеты устанавливать ребенку?
                    
Когда дело касается заботы о зубах детей, многие родители задаются вопросом, какие брекеты установить своему ребенку. Брекеты - это одно из наиболее распространенных средств...                
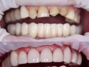
            Доступная имплантация зубов в СПБ: откройте новую страницу своей улыбки
                    
Что такое имплантация зубов и зачем она нужна?
Имплантация зубов – это процесс установки искусственного корня зуба, который помогает восстановить утраченные зубы. Иногда мы сталкиваемся...                
            Надежные способы снятия зубной боли
                    
Зубная боль - крайне неприятное и мешающее обстоятельство, которое может возникнуть у любого из нас. У болевых ощущений в зубах различные причины, например, кариес,...                
            Лечение зубов во сне: возможность оказать помощь самым маленьким и непоседливым малышам
                    
Чтобы зубы были здоровы, а улыбка красивая, люди обращаются к стоматологу. Однако многие бояться этого доктора, что уж говорить о детях. Если раньше стоматологические...                
            Как и где лучше восстановить зубной ряд и сэкономить на реставрации единицы?
                    Всевозможные заболевания, а также травмы или падения, проявляющиеся внешне патологии, связанные со сколом на зубах – все это требует не просто детального осмотра и...                
            Имплантация зубов : советы по подготовке перед операцией
                    Каждый человек желает иметь привлекательную улыбку, а отсутствие зуба или же нескольких зубов этому явно не способствует. К счастью, в настоящее время люди, имеющие...                
            Кариес, его диагностика и лечение
                    Кариес является одним из самых распространенных инфекционных заболеваний, поражающих зубную эмаль. Если недуг был обнаружен слишком поздно, есть риск довести его до того состояние,...                
            Рекомендации по уходу и поддержке после процедуры all on 4 имплантации под ключ
                    После проведения процедуры all on 4 имплантации под ключ необходимо обеспечить правильный уход и поддержку для обеспечения успешной адаптации и долговечности имплантатов. В этом...                
            
			
		






















