Стоматология
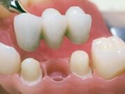
Мостовидные протезы: виды, преимущества, недостатки
Зубной мост – это классический способ протезирования при отсутствии нескольких зубных единиц. Метод не только эстетичен, но также позволяет восстановить жевательную функцию челюсти.
Что такое...
Astra Tech: импланты премиального уровня
В настоящий момент времени очень большое количество людей действительно стараются внимательнее и с большей заботой относиться к своему здоровью, в которое также входит и...
С чего начать протезирование зубов?
В настоящее время каждый человек отличается невероятной занятостью, в условиях которой действительно очень много времени занимает профессиональная деятельность, а на себя, на быт не...
Самые надежные виниры: взгляд профессионала
В настоящее время практически каждый человек проявляет заботу о своей внешности, достаточно внимания уделяет различным процедурам и мероприятиям, которые обеспечивают ему ухоженный и аккуратный...
Капа для зубов надежная защита и эффективное лечение
Современная стоматология активно развивается и на сегодняшний день есть очень много видов кап для зубов, которые имеют определенное назначение. Они могут отлично и надежно...
Современные методы протезирования зубов
Каждый человек должен внимательно заботиться о своем здоровье, проявлять определенную заботу, потому что это даст возможность жить всегда в комфорте, ощущать свою состоятельность, свою...
Современные методы лечения пульпита
Болезнь пульпит чаще всего является итогом запущенного и невылеченного кариеса. Происходит разрушение твердых тканей зуба, при этом все микробы, которые были при кариесе идут...
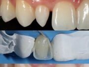
Реставрация зубов :эстетическое восстановление зубного ряда
Если ваши зубы стали некрасивыми, изменили свою форму и цвет, тогда вам понадобиться реставрация зубов.Это такая уникальная технология, которая позволяет сделать свою улыбку белоснежной...
Рекомендации по выбору стоматологии
Зубная боль – это худшее, что может быть, так как она очень сильно изматывает и приносит дискомфорт. Многие люди панически бояться стоматологов. Проблема состоит...
Разновидности стоматологического оборудования
Современная стоматология все время развивается, появляется новое оборудование, инструменты, материалы.Красивая улыбка – не роскошь, а необходимость. Благо, ее обладателем может стать практически каждый. Но...























