Стоматология
Рекомендации по выбору стоматологии
Зубная боль – это худшее, что может быть, так как она очень сильно изматывает и приносит дискомфорт. Многие люди панически бояться стоматологов. Проблема состоит...
Разновидности стоматологического оборудования
Современная стоматология все время развивается, появляется новое оборудование, инструменты, материалы.Красивая улыбка – не роскошь, а необходимость. Благо, ее обладателем может стать практически каждый. Но...
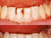
Показания к протезированию зубов: все то, что не мешает вам обзавестись новыми красивыми зубами
На самом деле, если человек теряет даже один зуб, то спустя определенное время будут неприятные последствия, и у каждого они могут быть самыми разными....
Этапы имплантации зубов
Редко кому из людей удается избежать за всю свою жизнь болезни зубов. Для некоторой группы людей проблемы с зубами начинаются в раннем детстве, у...
Методы восстановления зубов
В настоящее время для каждого человека большое значение имеет его внешний вид, потому что это важно для социального взаимодействия с другими людьми, для выполнения...
Рекомендации для родителей по выбору правильного детского стоматолога
В настоящее время крайне важно следить за своим здоровьем, чтобы чувствовать себя максимально комфортно в любой ситуации, а главное в любом возрасте. При этом...
Съемные зубные протезы: виды
Потеря большого количества зубов в любом возрасте может расстроить человека. Но не стоит отчаиваться, ведь существует большой выбор съёмных протезов, нужно лишь подобрать подходящий...




















