Преимущества комплексного очищения организма в санатории
Когда тело перегружено токсинами и шлаками, это может привести к различным заболеваниям и проблемам со здоровьем. Для поддержания организма в тонусе и предотвращения развития...
Методы исправления прикуса у детей
Исправление прикуса является важной задачей в ортодонтии, поскольку неправильное положение зубов может вызвать различные проблемы с дыханием, говором и жевательной функцией. Кроме того, неисправный...
Современные методы лечения наркомании
Наркомания — серьёзная проблема, которая затрагивает миллионы людей по всему миру. Она приводит к разрушению физического и психического здоровья, потере социальных связей и даже...
Как не ошибиться в выборе суррогатной мамы?
Если вы используете суррогатное материнство, то обязательно спросите, прошли ли их суррогатные матери, теперь более известные как GC или гестационные носители, психологическую оценку. Если...
Как самому вылечиться от заикания: возможно ли это?
Проблемы с речью – заболевания, которые сложно поддаются лечению. Иногда в детском возрасте появляются запинки, ребенку становится сложно выговаривать некоторые слоги, возникают трудности при...
Расстройства сна: причины, симптомы и лечение
Сон для человека считается не просто приятным времяпрепровождением, но и важной часть его жизни, влияющая на физическое и психическое самочувствие. Однако не всегда у...
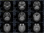
Расшифровка снимков и результатов МРТ онлайн
На сегодняшний день магнитно-резонансная томография и компьютерная томография считаются одними из самых прогрессивных методик проведения диагностики. С их помощью удается получить полную картину состояния...
Для чего нужна диагностика здоровья?
Сегодня человек для поддержания своего здоровья и проведения диагностики различных заболеваний использует различные средства, к которым относится и медикаментозное вмешательство и нетрадиционная медицина.
Многие в...
МК-редукция носовых раковин
Хронический насморк — заболевание, может быть, и не слишком страшное, однако оно способно серьезно снизить уровень жизни человека. Заболевание сопровождается наличием патологического экссудата, нарушениями...
Процедура ЭКО: показания, противопоказания, как подготовиться
При планировании семьи и лечении бесплодия применяется несколько современных методов. Среди них - отложенное материнство и отцовство, искусственное оплодотворение, применение донорских половых клеток. Среди...























