Анастрозол: Как Этот Препарат Меняет Жизнь Женщин с Раком Груди
Когда мы слышим слово "рак", зачастую нас охватывает страх и беспокойство. Однако современные препараты, такие как анастрозол, открывают новые горизонты в лечении этого страшного...
Секреты анастрозола: как он меняет жизнь и здоровье женщин
Анастрозол — это не просто медицинский препарат, а целый мир возможностей для женщин, которые сталкиваются с гормонозависимыми заболеваниями, особенно с раком молочной железы. В...
Школа Anti-Age Expert: кто может принять участие?
Продлить молодость и здоровье человека- одна из главнейших задач современной медицины.
Антивозрастная медицина предлагает научно обоснованный подход к комплексному изучению биохимических процессов в организме человека...
Услуги сиделок в Москве
Сиделка в больницу
Сиделка в больницу (стационар), клинику Москвы и МО от 100 руб./час
Заболел близкий человек, и вы желаете обеспечить ему постоянный профессиональный уход? Нет...
Шаги к здоровью: Как подготовиться к первому визиту к ревматологу
Первый визит к ревматологу может показаться немного напряженным и волнующим, особенно если у вас есть опасения или вопросы относительно вашего здоровья. Однако хорошая подготовка...
Основные этапы вывода из запоя
Вывод из запоя в Могилеве предполагает поэтапный подход, потому рассмотрим особенности стадий далее.
Стадия детоксикации
Под детоксикацией подразумевают очищение организма от продуктов распада этанола.
Обычно соответствующие процедуры...
Как получить натуральные витамины для мужского здоровья?
Мужское здоровье напрямую зависит от состояния организма. Потребности организма на протяжении жизни меняются, зависят от рациона питания и образа жизни. Как поддерживать баланс микроэлементов,...
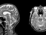
МРТ головного мозга: когда нужно делать и что показывает?
Магнитно-резонансная томография (МРТ) головного мозга – один из самых точных и безопасных методов диагностики. Она позволяет выявить различные патологии, оценить состояние тканей и сосудов,...
Реабилитация после травмы локтевого сустава: восстановление движений и жизни
После травмы локтевого сустава восстановление функций и полное возвращение к активной жизни могут стать настоящим испытанием. Каждый, кто хоть раз сталкивался с подобными травмами,...
Как проводится компьютерная томография челюсти и зубов?
Томография челюсти и зубов – это специальное исследование, которое позволяет получить детальное изображение структуры челюсти и зубов. Она назначается стоматологами перед выполнением определенных манипуляций....






















