Советы и помощь в выборе центра лечения наркомании
Наркомания является распространенным расстройством, которое, если его не остановить, может легко привести к изнурительным последствиям. К счастью, лечение от зависимости легко доступно в специализированных...
Современные методики лечения наркомании
Медицина XXI века обладает эффективными методами борьбы с наркотической зависимостью: медикаментозное лечение, гипноз, озонотерапия, воздействие на мозг больного лазером. Лечение наркомании подробно на сайте...
Здоровье под контролем: Почему стоит записаться на прием к врачу-гастроэнтерологу в Уфе
Здоровье каждого из нас — это одна из самых важных тем, которую мы, к сожалению, часто оставляем на второй план. И когда дело доходит...
Важность профессиональной консультации ортодонта
Ортодонт - это специалист, который осуществляет процесс лечения прикуса. Очень важным моментом является тот факт, что ортодонт изначально восстанавливает функцию, а потом уже решает...
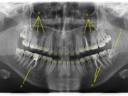
Для чего нужна ортопантомограмма ?
Ортопантомограмма - это своеобразный панорамный снимок челюсти. Именно он позволяет четко и точно оценить костную структуру челюсти, также выявить все возможные дефекты включая кисты,...
Неотложная круглосуточная стоматологическая помощь в Москве
Неотложная круглосуточная стоматологическая помощь является крайне необходимой. Каждый человек в своей жизни сталкивался с тем, что зубная боль настигает неожиданно. И очень часто возникает...
Лечение кариеса ICON: новая и перспективная технология
Процесс лечения кариеса является достаточно сложным. Сегодня появляются новые технологии, которые действительно способны предоставить наилучшие результаты. Инновационные технологии хороши тем, что провоцируют возможность быстрого...
Преимущества обращения в медицинский центр Панацея
Высококачественная медицинская помощь – медицинский центр Панацея.
Как известно, главенствующим в продолжительной жизни человека, является здоровье. Если оно в хорошем состоянии, то жизнь его всегда...
Серебрение зубов: консервативный метод лечения кариеса молочных зубов
Детская стоматология — это раздел стоматологии, в котором в основном рассматриваются вопросы профилактики и лечения кариеса зубов у детей. В последнее время детская стоматология...
Особенности лечения на брекетах и элайнерах
Прикус – это соотношение зубных рядов и челюстей, которое обеспечивает правильное смыкание зубов. Именно из-за него мы не можем нормально жевать пищу, разговаривать и...






















