Стоматология
Правила посещения стоматолога: что нужно сделать перед приемом?
                    Регулярное посещение стоматолога является важной частью сохранения здоровья и активного предотвращения кариеса, заболеваний десен, износа эмали и многого другого. При подготовке к визиту к...                
            Методы лечения периодонтита зуба
                    Сегодня, для того чтобы вылечить любую болезнь зубов необязательно стоять в больших очередях государственных стоматологий. Сейчас, особенно в больших городах, открывается большое количество частных...                
            Стоматологическое протезирование при полной адентии
                    Протезирование – это эффективный способ восстановления зубного ряда, жевательной функции, эстетики улыбки. Отсутствие зубов называется в стоматологической практике адентией. Появиться в жизни человека такой...                
            Виды прикуса: особенности, лечение
                    Виды прикуса: особенности, лечение
По статистике до 80% людей имеют нарушения в функционировании или в строении зубочелюстного аппарата. Для диагностики и лечения проблем с прикусом...                
            В чем преимущества имплантов Медент?
                    Зубной имплант лучше настоящих зубов?
Когда вы хотите серьезно поговорить о дентальной имплантологии, вы должны сразу же ответить на вопрос: может ли зубной имплантат быть...                
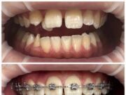
            Какие брекеты лучше ставить взрослому человеку?
                    Никому в наше время не хочется ходить с кривыми, некрасивыми зубами, тем более если человек уже в возрасте или приближается к нему. Тогда не...                
            Виды кариеса и методы его профилактики
                    Кариесом зовется процесс разрушения структуры зуба, причины которого могут крыться как в инфекциях, так и в нарушениях обмена веществ. Если данное заболевание вовремя не...                
            Все о вестибулопластике: что нужно знать перед процедурой
                    
Введение в мир вестибулопластики
Когда речь заходит о визите к стоматологу, многие из нас испытывают определенное волнение. Однако существует множество процедур, которые могут значительно улучшить...                
            Что представляет собой нейлоновый зубной протез?
                    Что представляет собой нейлоновый зубной протез? Сегодня в нашей статье, мы поговорим про нейлоновый протез на верхнюю челюсть. Это довольно актуальная тема в наши...                
            Улучшите свою улыбку с помощью виниров
                    Стоматологические виниры можно рассматривать как тонкие пластинки, подобранные по цвету зуба, которые помещаются на его переднюю поверхность для устранения различных эстетических и функциональных проблем...                
            
			
		






















